当院では、歯を補うだけでなく、口腔全体を設計するインプラント治療を行っています。
インプラントについてよくある疑問
インプラントはどんな人に適していますか?
歯を失った方で、しっかり噛める状態を取り戻したい方に適しています。骨の状態によっては追加処置が必要な場合もあります。
骨が少なくてもインプラントは可能ですか?
GBRやサイナスリフトなどにより対応できる可能性があります。まずは診断が重要です。
インプラントと入れ歯はどちらが良いですか?
それぞれメリット・デメリットがあるため、口腔内の状態に応じて最適な方法をご提案します。
インプラントは「入れる治療」ではなく
「設計する治療」です
治療前に最終形態を設計し、
噛み合わせや力のバランスまで確認したうえで治療を進めます
※治療前に作成するワックスアップ(最終形態の設計)
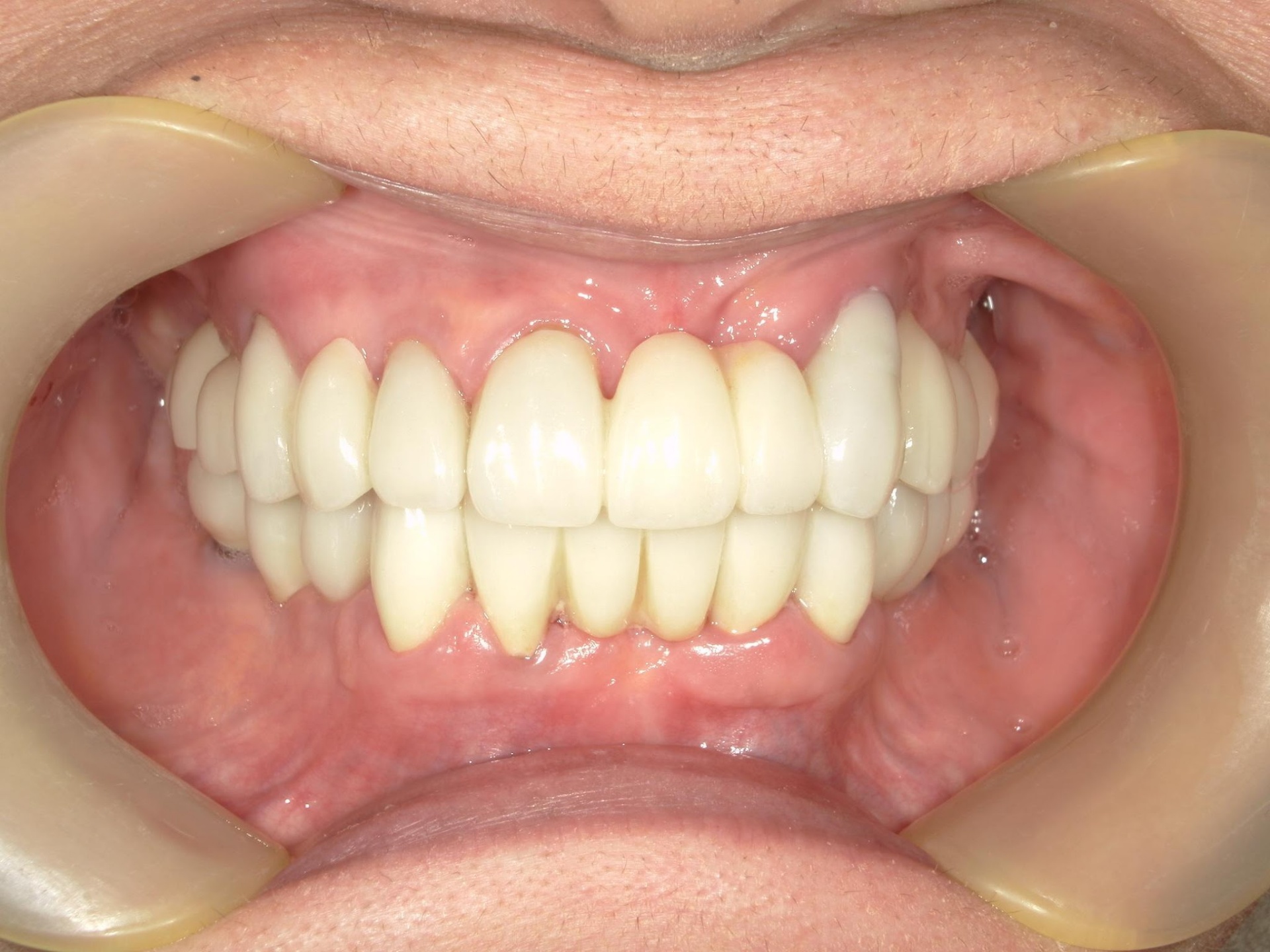
ここまで回復できる可能性があります
見た目だけでなく、しっかり噛める状態へ
Before
After
この症例では、単純に歯を入れるのではなく、
噛み合わせと力のバランスを再設計しています。
また、必要な場所にのみインプラントを用いることで、
残っている歯をできるだけ生かす治療設計としています。
その結果、見た目だけでなく、
長く安定して噛める状態を実現しています。
まずは、ご自身の状態を正確に知ることが大切です
インプラント診断を予約する
重度歯周炎による多数歯欠損に対する
インプラントおよびブリッジによる咬合再構成症例
主訴:歯がグラグラして気になる
診断:重度歯周炎による歯牙欠損および歯槽骨吸収
治療内容:
・インプラント埋入(8本)
・骨造成(必要部位)
・プロビジョナルによる歯肉形態および咬合調整
・上顎前歯部:セラミックブリッジによる補綴
・最終補綴:セラミッククラウン・ブリッジ
治療期間:約2年(通院回数:約24回)
費用:
インプラント:40万円 × 8本+インプラントブリッジポンティック=380万円
セラミックブリッジ:60万円 × 2=120万円
総額:約500万円(税込)
リスク・副作用:
外科処置に伴う腫脹・疼痛・出血/感染/インプラント脱落/インプラント周囲炎/
咬合調整の必要性/長期的なメンテナンスが必要
※本症例は一例であり、同様の結果を保証するものではありません。
※治療内容・期間・費用は患者様の状態により異なります。
※インプラント治療は自由診療です。
67歳からのインプラント治療で
76歳の今も快適に噛める状態を維持
この患者様は67歳の時に
「どうにかならないでしょうか」とご相談に来られました。
歯の欠損や不良補綴により、見た目だけでなく
しっかり噛めない状態が続いていました。
一度は入れ歯を使用されましたが、違和感が強く、
十分に機能しない状態でした。
そこでインプラント治療による
口腔全体の再設計を行いました。
ワックスアップにより最終形態を設計し、
噛み合わせや力のコントロールを含めて治療しています。
現在は76歳になられますが、問題なく噛める状態を維持し、
口腔内も良好な状態を保っています。
年齢に関わらず、適切な診断と設計によって
生活の質を大きく改善できる可能性があります。
精密な診断に基づき手術を行います
設計した位置・角度に基づいて、
安全性と精度を重視したインプラント手術を行います
※当院で実際に行っているインプラント手術の様子
インプラントの費用について
当院では、費用の透明性を大切にし、できるだけわかりやすく料金を明示しています。
まずは、インプラント1本あたりの基本的な費用の目安をご確認ください。
プロビジョナルレストレーション、上部構造を含む基本構成です
基本費用の内訳
追加費用がかかる場合
骨の量が不足している場合や、抜歯・骨造成が必要な場合は追加費用が発生します。
お支払い方法
・クレジットカード
・医療ローン
保証について
・4年目:20%自己負担
・5年目:40%自己負担
・6年目:60%自己負担
・7年目:80%自己負担
・8年目以降:100%自己負担
費用の考え方について
当院では、単に歯を補うだけでなく、咬合・見た目・長期安定まで含めて口腔全体を設計することを重視しています。
実際の費用は、骨の状態、欠損部位、本数、追加処置の有無によって変動します。まずは資料採得と診断を行い、あなたの状態に合わせた治療計画と費用をご説明します。
リスク・デメリット
インプラント治療は、しっかり噛める機能性と見た目の自然さを回復しやすい治療法ですが、外科処置を伴うため、一定のリスクや注意点があります。
当院では、メリットだけでなくリスクやデメリットも事前に丁寧にご説明し、ご理解・ご納得いただいたうえで治療を進めています。
手術に伴うリスク
インプラントは外科手術を伴うため、術後の腫れ・痛み・内出血、出血や感染、部位によっては上顎洞や神経への影響などのリスクがあります。 また、骨の状態によっては骨造成などの追加処置が必要になる場合があります。
当院ではCTによる三次元診断を行い、神経や骨の状態を正確に把握したうえで治療計画を立て、安全性に配慮して手術を行っています。
インプラントが長持ちしない可能性
清掃不良や喫煙、歯周病、噛み合わせの問題により「インプラント周囲炎」を起こすと、インプラントの寿命が短くなる可能性があります。
当院では治療前に歯周状態や咬合を評価し、必要な治療を行ったうえで長期安定を見据えた設計を行っています。
メンテナンスの必要性
インプラントは治療後の管理が非常に重要です。定期的な検診・クリーニング・噛み合わせチェックが必要になります。
当院では衛生士による継続管理を行い、患者様の状態に合わせたメンテナンス体制を整えています。
当院の考え方
当院では、単にインプラントを入れることを目的とせず、咬合・清掃性・長期安定まで含めた「口腔全体の設計」を重視しています。 そのため、必要に応じて他の治療法も含めてご提案し、納得いただいた上で治療を選択していただいています。
あなたの状態に合わせた
治療設計をご提案します
インプラントが適しているかどうかも含めて、CT診断をもとに丁寧にご説明します。
無理に治療をすすめることはありませんので、まずは診断をご予約ください。
担当医について
院長 境 英二
口腔構造設計型歯科医師
当院では、口腔全体の構造を診断し、
長期的に安定する治療設計を行っています。
インプラント・補綴・咬合の観点から、
患者様ごとに最適な治療をご提案します。
- 口腔インプラント学会 所属
- インプラント学会認定講習会(100時間)修了(2021年)
当院の特徴
- 口腔全体を設計するインプラント治療
- 難症例(骨不足・多数歯欠損)にも対応
- 治療後の長期安定まで考えた設計
このような方は一度ご相談ください
- 歯を失ってどうしたらいいかわからない方
- 入れ歯に違和感がある方
- 骨が足りないと言われた方
- 複数本失っている方
- All-on-4など全体治療を検討している方
インプラント診断で分かること
- インプラント・入れ歯・ブリッジの違いと、自分に合う治療法
- 骨の状態と、インプラントが可能かどうか(GBR・サイナスリフトの適応)
- 最適な治療方法(ボーンアンカードブリッジ、All-on-4、オーバーデンチャーなど)
- 治療期間と費用の目安
診断の流れ
当院では、いきなり治療を始めるのではなく、
現在のお口の状態を正確に把握したうえで、治療方針をご提案しています。
まずはご予約
まずは初回の診断予約をお取りください。
現在のお悩みやご希望を伺いながら、インプラントが本当に適しているのかも含めて確認していきます。
資料採取・精密検査
診断の精度を高めるため、以下の資料採取・検査を行います。
- パノラマレントゲン
- CT撮影
- 口腔内写真
- 口腔内スキャナーによるデジタル模型
- 必要に応じて、印象による模型採取
これらの情報をもとに、
- 骨の量や厚み
- 神経・血管・上顎洞との位置関係
- 噛み合わせの状態
- 周囲の歯や歯周組織の状態
まで含めて総合的に評価します。
また、歯周病の検査については保険診療にて別途実施し、
その結果も踏まえて診断を行います。
診断結果のご説明
検査結果をもとに、
- 現在どのような状態なのか
- なぜその治療が必要なのか
- インプラントが適しているのか
- 他にどのような選択肢があるのか
を分かりやすくご説明します。
治療プランのご提案
診断結果をもとに、
- 治療方法
- 治療期間
- 費用の目安
をご案内します。
その際、インプラントに限らず、必要に応じて他の治療法とも比較しながら、
それぞれのメリット・デメリットを踏まえてご提案いたします。
まずは現在の状態を正確に知ることから始めます
治療は、患者様ご自身が納得して選択することが何より重要だと考えています。
一方的に治療をすすめるのではなく、情報をしっかりご理解いただいたうえで選んでいただくことを大切にしています。
まずは現在の状態を正確に知ることが、後悔のない治療選択につながります。
診断を予約する診断の流れ
当院では、いきなり治療を始めるのではなく、
現在のお口の状態を正確に把握したうえで、
治療方針をご提案しています。
まずは初回の診断予約をお取りください。
現在のお悩みやご希望を伺いながら、インプラントが本当に適しているのかも含めて確認していきます。
診断の精度を高めるため、以下の資料採取・検査を行います。
- パノラマレントゲン
- CT撮影
- 口腔内写真
- 口腔内スキャナーによるデジタル模型
- 必要に応じて、印象による模型採取
これらの情報をもとに、
- 骨の量や厚み
- 神経・血管・上顎洞との位置関係
- 噛み合わせの状態
- 周囲の歯や歯周組織の状態
まで含めて総合的に評価します。
また、歯周病の検査については保険診療にて別途実施し、その結果も踏まえて診断を行います。
検査結果をもとに、
- 現在どのような状態なのか
- なぜその治療が必要なのか
- インプラントが適しているのか
- 他にどのような選択肢があるのか
を分かりやすくご説明します。
診断結果をもとに、
- 治療方法
- 治療期間
- 費用の目安
をご案内します。
その際、インプラントに限らず、必要に応じて他の治療法とも比較しながら、それぞれのメリット・デメリットを踏まえてご提案いたします。
まずは現在の状態を正確に知ることから始めます
治療は、患者様ご自身が納得して選択することが何より重要だと考えています。
一方的に治療をすすめるのではなく、情報をしっかりご理解いただいたうえで選んでいただくことを大切にしています。
まずは現在の状態を正確に知ることが、後悔のない治療選択につながります。
診断を予約するよくあるご質問
Q. インプラント手術は痛いですか?
麻酔をしっかり行い、できるだけ負担の少ない治療を行います。術後に違和感が出ることはありますが、多くの場合は数日で落ち着きます。
Q. 骨が少ないと言われたのですが可能ですか?
症例によりますが、GBRやサイナスリフトなどにより対応できる可能性があります。まずは診断で状態を確認することが重要です。
Q. インプラント以外の治療も選べますか?
はい、入れ歯やブリッジとの比較も含めてご説明し、最適な方法をご提案します。
Q. 相談したら必ず治療しないといけませんか?
いいえ、診断のみでも問題ありません。無理に治療をすすめることはありませんのでご安心ください。
Q. 高齢でもインプラントは可能ですか?
全身状態や口腔内の状況によりますが、適切な診断を行えば高齢の方でも治療できる可能性があります。
北上市でインプラントを検討されている方へ
インプラント治療は、単に歯を補うだけではなく、骨の状態・噛み合わせ・見た目・将来の安定性まで考えて進めることが大切です。
当院では、その場しのぎではなく、口腔全体を診断しながら治療の設計をご提案しています。
北上市でインプラント治療を受けるときに大切なこと
北上市でインプラント治療を考えるとき、医院ごとの違いは「インプラントを入れる技術」だけではありません。 大切なのは、治療前にどこまで診断し、どこまで将来を見据えて設計しているかです。
当院では、見た目だけではなく、噛み合わせや骨の状態、長期安定まで含めて診断し、 その方に合った治療を考えていきます。
インプラントの費用はどれくらいかかるのか
インプラント費用は、単純に高い・安いだけでは判断できません。 検査内容や骨造成、上部構造などによって総額は変わります。
何が含まれているか、どこまで診断されているかを確認することが重要です。
インプラントは痛いのか不安な方へ
手術中は麻酔を行うため、強い痛みを感じることは多くありません。
術後に腫れや違和感が出ることはありますが、事前にしっかりご説明します。
骨が少ない場合でもインプラントはできるのか
骨が少ない場合でも、条件によっては骨造成などで対応できるケースがあります。
無理に行うのではなく、診断に基づいて適応を判断します。
All-on-4とはどんな治療か
少ない本数のインプラントで全体を支える治療法です。
ただし適応には条件があり、診断が重要になります。
インプラント治療で大切なのは長く安定させること
見た目だけでなく、噛めることと長期安定が重要です。
当院では口腔全体を設計する治療を行っています。
まずは「自分に必要かどうか」を
知ることから始めてください
当院では、無理に治療をすすめることはありません。
診断をもとに、最適な選択肢をご提案します。
インプラント診断:11,000円(税込)
インプラント診断を予約する